VAPB-Polyclonal Antibodies

our services
our products
Quotations & Ordering:

For quotations, please use our online quotation form, and you may also contact us by

service@kendallscientific.com

Phone:

+1-888.733.6849 (Toll-free)
+1-617.299.7367 (Int’l))

Fax:

+1-888.733.6849

Our customer service representatives are available 24 hours, Monday through Friday to assist you.

VAPB

Qty


Total
$220
Catalog #
A5363
Antibody Type
Polyclonal Antibody
Gene ID
9217
Swiss Prot
O95292
Size
Species
Rabbit
Isotype
IgG
Purity
Affinity purification
Additional Information
ReactivityHuman Mouse Rat
Tested applicationsWB IHC IF
Recommended DilutionWB 1:500 - 1:2000 IHC 1:50 - 1:200 IF 1:20 - 1:50
Calculated MW27kDa
Observed MWRefer to Figures
ImmunogenRecombinant protein of human VAPB
Storage BufferStore at -20℃. Avoid freeze / thaw cycles. Buffer: PBS with 0.02% sodium azide, 50% glycerol, pH7.3.
SynonymALS8; VAP-B; VAMP-B;
Images
  • A5363: image 1

    Western blot analysis of extracts of various cell lines, using VAPB antibody.

  • A5363: image 2

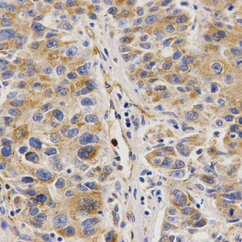
    Immunohistochemistry of paraffin-embedded human liver cancer using VAPB antibody at dilution of 1:200 (x400 lens)

  • A5363: image 3

    Immunofluorescence analysis of HeLa cell using VAPB antibody. Blue: DAPI for nuclear staining.

Background

The protein encoded by this gene is a type IV membrane protein found in plasma and intracellular vesicle membranes. The encoded protein is found as a homodimer and as a heterodimer with VAPA. This protein also can interact with VAMP1 and VAMP2 and may be involved in vesicle trafficking.

Protocol

N/A

MSDS
Reviews
Kendall Scientific welcomes feedback from its customers.

If you have used an our product and would like to share how it has performed, please click on the "Submit Review" button and provide the requested information.

If you have any additional inquiries please email technical services at info@kendallscientific.com.

Thank you for your support.

promotions

Image

Custom Monoclonal Antibody
MassAb Technologies
Image
Free Trial Custom Polyclonal Antibody
You will receive free purified antibodies for validation
Image
Custom Peptides Synthesis

Start from $40/each

new technologies

Image
Optimized for enhanced
expression levels
XPromoter 2.0
Image
E.coli/insect cells/293 & CHO

3 in 1 expression system
Image
MassAb Technologies

Cover All Epitopes