For quotations, please use our online quotation form, and you may also contact us by
service@kendallscientific.com
+1-888.733.6849 (Toll-free)
+1-617.299.7367 (Int’l))
+1-888.733.6849
Our customer service representatives are available 24 hours, Monday through Friday to assist you.| Reactivity | Human Mouse Rat |
| Tested applications | WB IHC IF |
| Recommended Dilution | WB 1:500 - 1:2000 IHC 1:50 - 1:100 IF 1:50 - 1:100 |
| Calculated MW | 49kDa |
| Observed MW | Refer to figures |
| Immunogen | Recombinant protein of human VPS4A |
| Storage Buffer | Store at -20℃. Avoid freeze / thaw cycles. Buffer: PBS with 0.02% sodium azide, 50% glycerol, pH7.3. |
| Synonym | SKD1; SKD2; VPS4; SKD1A; VPS4-1; |

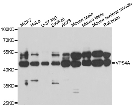
Western blot analysis of extracts of various cell lines, using VPS4A antibody.

Immunohistochemistry of paraffin-embedded human stomach using VPS4A antibody at dilution of 1:100 (40x lens).

Immunohistochemistry of paraffin-embedded human lung using VPS4A antibody at dilution of 1:100 (40x lens).

Immunofluorescence analysis of A549 cell using VPS4A antibody. Blue: DAPI for nuclear staining.
The protein encoded by this gene is a member of the AAA protein family (ATPases associated with diverse cellular activities), and is the homolog of the yeast Vps4 protein. In humans, two paralogs of the yeast protein have been identified. The former share a high degree of aa sequence similarity with each other, and also with yeast Vps4 and mouse Skd1 proteins. The mouse Skd1 (suppressor of K+ transport defect 1) has been shown to be really an yeast Vps4 ortholog. Functional studies indicate that both human paralogs associate with the endosomal compartments, and are involved in intracellular protein trafficking, similar to Vps4 protein in yeast. The gene encoding this paralog has been mapped to chromosome 16; the gene for the other resides on chromosome 18.
N/A