For quotations, please use our online quotation form, and you may also contact us by
service@kendallscientific.com
+1-888.733.6849 (Toll-free)
+1-617.299.7367 (Int’l))
+1-888.733.6849
Our customer service representatives are available 24 hours, Monday through Friday to assist you.| Reactivity | Human Mouse Rat |
| Tested applications | WB IHC |
| Recommended Dilution | WB 1:500 - 1:2000 IHC 1:50 - 1:200 |
| Calculated MW | 198kDa |
| Observed MW | Refer to Figures |
| Immunogen | Recombinant protein of human WNK3 |
| Storage Buffer | Store at -20℃. Avoid freeze / thaw cycles. Buffer: PBS with 0.02% sodium azide, 50% glycerol, pH7.3. |
| Synonym | PRKWNK3; |

Western blot analysis of extracts of various tissues, using WNK3 antibody.

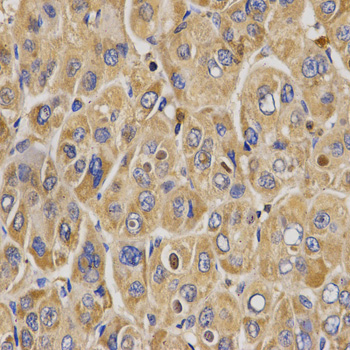
Immunohistochemistry of paraffin-embedded human liver cancer tissue using WNK3 antibody at dilution of 1:200 (x400 lens).

Immunohistochemistry of paraffin-embedded Rat kidney using WNK3 antibody at dilution of 1:100 (x400 lens).
This gene encodes a protein belonging to the 'with no lysine' family of serine-threonine protein kinases. These family members lack the catalytic lysine in subdomain II, and instead have a conserved lysine in subdomain I. This family member functions as a positive regulator of the transcellular Ca2+ transport pathway, and it plays a role in the increase of cell survival in a caspase-3-dependent pathway. Alternative splicing results in multiple transcript variants.
N/A