For quotations, please use our online quotation form, and you may also contact us by
service@kendallscientific.com
+1-888.733.6849 (Toll-free)
+1-617.299.7367 (Int’l))
+1-888.733.6849
Our customer service representatives are available 24 hours, Monday through Friday to assist you.| Reactivity | Human Mouse Rat |
| Tested applications | WB IHC |
| Recommended Dilution | WB 1:500 - 1:2000 IHC 1:50 - 1:200 |
| Calculated MW | 39kDa |
| Observed MW | Refer to Figures |
| Immunogen | Recombinant protein of human WNT3A |
| Storage Buffer | Store at -20℃. Avoid freeze / thaw cycles. Buffer: PBS with 0.02% sodium azide, 50% glycerol, pH7.3. |
| Concentration | t |
| Synonym | Protein Wnt-3a;WNT3A; |

Western blot analysis of NCI-H292 cell lysate using WNT3A antibody.

Immunohistochemistry of paraffin-embedded rat brain using WNT3A antibody at dilution of 1:200 (400x lens).

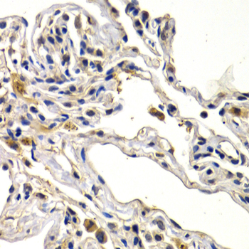
Immunohistochemistry of paraffin-embedded human lung cancer using WNT3A antibody at dilution of 1:200 (400x lens).

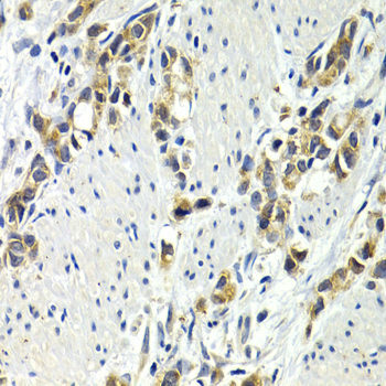
Immunohistochemistry of paraffin-embedded human stomach cancer using WNT3A antibody at dilution of 1:200 (400x lens).
The Wnt family includes several secreted glycoproteins that play important roles in animal development (1). There are 19 Wnt genes in the human genome that encode functionally distinct Wnt proteins (2). Wnt members bind to the Frizzled family of seven-pass transmembrane proteins and activate several signaling pathways (3). The canonical Wnt/β-catenin pathway also requires a coreceptor from the low-density lipoprotein receptor family (4). Aberrant activation of Wnt signaling pathways is involved in several types of cancers (5). Wnt3a protein is palmitoylated and can function as a growth factor for hematopoietic stem cells (6). Although functionally distinct, Wnt3a shows high homology to Wnt3 (7).
N/A