For quotations, please use our online quotation form, and you may also contact us by
service@kendallscientific.com
+1-888.733.6849 (Toll-free)
+1-617.299.7367 (Int’l))
+1-888.733.6849
Our customer service representatives are available 24 hours, Monday through Friday to assist you.| Reactivity | Human Mouse Rat |
| Tested applications | WB IHC IF |
| Recommended Dilution | WB 1:500 - 1:2000 IHC 1:50 - 1:200 IF 1:50 - 1:200 |
| Calculated MW | 136kDa |
| Observed MW | Refer to figures |
| Immunogen | Recombinant protein of human XPO5 |
| Storage Buffer | Store at -20℃. Avoid freeze / thaw cycles. Buffer: PBS with 0.02% sodium azide, 50% glycerol, pH7.3. |
| Synonym | exp5; |

Western blot analysis of extracts of various cell lines, using XPO5 antibody.

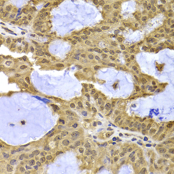
Immunohistochemistry of paraffin-embedded human oophoroma using XPO5 antibody at dilution of 1:100 (x400 lens).

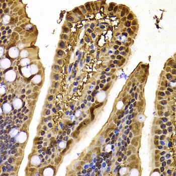
Immunohistochemistry of paraffin-embedded mouse jejunum using XPO5 antibody at dilution of 1:100 (x400 lens).

Immunofluorescence analysis of A549 cell using XPO5 antibody.
This gene encodes a member of the karyopherin family that is required for the transport of small RNAs and double-stranded RNA-binding proteins from the nucleus to the cytoplasm. The encoded protein translocates cargo through the nuclear pore complex in a RanGTP-dependent process.
N/A