For quotations, please use our online quotation form, and you may also contact us by
service@kendallscientific.com
+1-888.733.6849 (Toll-free)
+1-617.299.7367 (Int’l))
+1-888.733.6849
Our customer service representatives are available 24 hours, Monday through Friday to assist you.| Reactivity | Human Mouse Rat |
| Tested applications | WB IHC IF |
| Recommended Dilution | WB 1:500 - 1:2000 IHC 1:50 - 1:200 IF 1:50 - 1:200 |
| Calculated MW | 32kDa |
| Observed MW | Refer to Figures |
| Immunogen | Recombinant protein of human XRCC2 |
| Storage Buffer | Store at -20℃. Avoid freeze / thaw cycles. Buffer: PBS with 0.02% sodium azide, 50% glycerol, pH7.3. |
| Concentration | be |
| Synonym | DKFZp781P0919; |

Western blot analysis of extracts of various cell lines, using XRCC2 antibody.

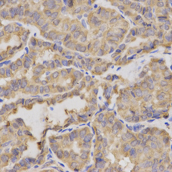
Immunohistochemistry of paraffin-embedded human thyroid cancer using XRCC2 antibody at dilution of 1:200 (x400 lens)

Immunofluorescence analysis of MCF7 cell using XRCC2 antibody. Blue: DAPI for nuclear staining.

Immunofluorescence analysis of A549 cell using XRCC2 antibody.

Immunofluorescence analysis of A549 cell using XRCC2 antibody. Blue: DAPI for nuclear staining.
This gene encodes a member of the RecA/Rad51-related protein family that participates in homologous recombination to maintain chromosome stability and repair DNA damage. This gene is involved in the repair of DNA double-strand breaks by homologous recombination and it functionally complements Chinese hamster irs1, a repair-deficient mutant that exhibits hypersensitivity to a number of different DNA-damaging agents. [provided by RefSeq, Jul 2008]
N/A