For quotations, please use our online quotation form, and you may also contact us by
service@kendallscientific.com
+1-888.733.6849 (Toll-free)
+1-617.299.7367 (Int’l))
+1-888.733.6849
Our customer service representatives are available 24 hours, Monday through Friday to assist you.| Reactivity | Human Mouse Rat |
| Tested applications | WB IHC IF |
| Recommended Dilution | WB 1:500 - 1:2000 IHC 1:50 - 1:200 IF 1:50 - 1:200 |
| Calculated MW | 38kDa |
| Observed MW | Refer to Figures |
| Immunogen | Recombinant protein of human XRCC3 |
| Storage Buffer | Store at -20℃. Avoid freeze / thaw cycles. Buffer: PBS with 0.02% sodium azide, 50% glycerol, pH7.3. |
| Concentration | e |
| Synonym | CMM6 |

Western blot analysis of extracts of HL60 cell lines, using XRCC3 antibody.

Immunohistochemistry of paraffin-embedded rat testis using XRCC3 antibody at dilution of 1:200 (x400 lens).

Immunohistochemistry of paraffin-embedded human stomach using XRCC3 antibody at dilution of 1:200 (x400 lens).

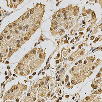
Immunohistochemistry of paraffin-embedded Human colon using XRCC3 antibody at dilution of 1:100 (x400 lens).

Immunofluorescence analysis of U2OS cell using XRCC3 antibody. Blue: DAPI for nuclear staining.
This gene encodes a member of the RecA/Rad51-related protein family that participates in homologous recombination to maintain chromosome stability and repair DNA damage. This gene functionally complements Chinese hamster irs1SF, a repair-deficient mutant that exhibits hypersensitivity to a number of different DNA-damaging agents and is chromosomally unstable. A rare microsatellite polymorphism in this gene is associated with cancer in patients of varying radiosensitivity. Alternatively spliced transcript variants encoding the same protein have been identified. [provided by RefSeq, Jul 2008]
N/A