YWHAB-Polyclonal Antibodies

our services
our products
Quotations & Ordering:

For quotations, please use our online quotation form, and you may also contact us by

service@kendallscientific.com

Phone:

+1-888.733.6849 (Toll-free)
+1-617.299.7367 (Int’l))

Fax:

+1-888.733.6849

Our customer service representatives are available 24 hours, Monday through Friday to assist you.

YWHAB

Qty


Total
$220
Catalog #
A1023
Antibody Type
Polyclonal Antibody
Gene ID
7529
Swiss Prot
P31946
Size
Species
Rabbit
Isotype
IgG
Purity
Affinity purification
Additional Information
ReactivityHuman Mouse Rat
Tested applicationsWB IHC IF
Recommended DilutionWB 1:500 - 1:2000 IHC 1:50 - 1:200 IF 1:50 - 1:200
Calculated MW28kDa
Observed MWRefer to Figures
ImmunogenRecombinant protein of human YWHAB
Storage BufferStore at -20℃. Avoid freeze / thaw cycles. Buffer: PBS with 0.02% sodium azide, 50% glycerol, pH7.3.
Concentrationfnq
SynonymYWHAB;GW128;HS1;KCIP-1 ;14-3-3;
Images
  • A1023: image 1

    Western blot analysis of extracts of various cell lines, using YWHAB antibody.

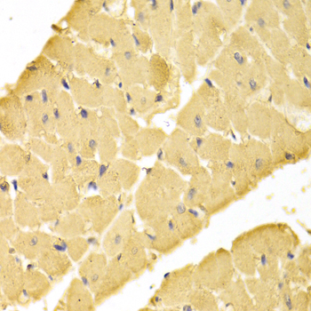
  • A1023: image 2

    Immunohistochemistry of paraffin-embedded rat liver using YWHAB antibody at dilution of 1:100 (x400 lens).

  • A1023: image 3

    Immunofluorescence analysis of HeLa cell using YWHAB antibody.

Background

The 14-3-3 family of proteins plays a key regulatory role in signal transduction, checkpoint control, apoptotic and nutrient-sensing pathways (1,2). 14-3-3 proteins are highly conserved and ubiquitously expressed. There are at least seven isoforms, β, γ, ε, σ, ζ, τ, and η that have been identified in mammals. The initially described α and δ isoforms are confirmed to be phosphorylated forms of β and ζ, respectively (3). Through their amino-terminal α helical region, 14-3-3 proteins form homo- or heterodimers that interact with a wide variety of proteins: transcription factors, metabolic enzymes, cytoskeletal proteins, kinases, phosphatases, and other signaling molecules (3,4). The interaction of 14-3-3 proteins with their targets is primarily through a phospho-Ser/Thr motif. However, binding to divergent phospho-Ser/Thr motifs, as well as phosphorylation-independent interactions, has been observed (4). 14-3-3 binding masks specific sequences of the target protein and therefore modulates target protein localization, phosphorylation state, stability, and molecular interactions (1-4). 14-3-3 proteins may also induce target protein conformational changes that modify target protein function (4,5). Distinct temporal and spatial expression patterns of 14-3-3 isoforms have been observed in development and in acute response to extracellular signals and drugs, suggesting that 14-3-3 isoforms may perform different functions despite their sequence similarities (4). Several studies suggest that 14-3-3 isoforms are differentially regulated in cancer and neurological syndromes (2,3).

Protocol

N/A

MSDS
Reviews
Kendall Scientific welcomes feedback from its customers.

If you have used an our product and would like to share how it has performed, please click on the "Submit Review" button and provide the requested information.

If you have any additional inquiries please email technical services at info@kendallscientific.com.

Thank you for your support.

promotions

Image

Custom Monoclonal Antibody
MassAb Technologies
Image
Free Trial Custom Polyclonal Antibody
You will receive free purified antibodies for validation
Image
Custom Peptides Synthesis

Start from $40/each

new technologies

Image
Optimized for enhanced
expression levels
XPromoter 2.0
Image
E.coli/insect cells/293 & CHO

3 in 1 expression system
Image
MassAb Technologies

Cover All Epitopes